|
2016/12/1
|
|
足首の捻挫の後遺症 |
|
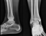
![]() ![]() os subfibulare 上の図は、捻挫した後の足首です。外くるぶしの下に小さな骨片が見られます。ここには、靭帯が付着しておりますので、足首が、緩く不安定になっています。あとから、関節炎や軟骨の変性が起きてきます。これを見逃さず、初期から、しっかりした固定が必要ですね。ほっておくと、下のようになります。 ![]() ![]() inpingement exostosis CT画像では、はっきりしてきます。常に予後を考えた、治療に専念したいものです。 |
|
| |







